Restorative Dentistry
What is Restorative Dentistry?
Restorative Dentistry involves any Dental process which focuses on repairing or restoring damaged oral structures to the functional and aesthetic requirements of the patient. Some of the Restorative Dentistry procedures are carried out by General Dentists and Some advanced complex cases may need the expertise of a Specialist in Restorative Dentistry.
RESTORATIVE DENTISTRY SERVICES OFFERED AT DANTHAJA
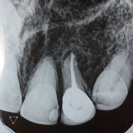
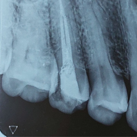
One Visit Root Canal Treatment
When a tooth is infected or the pulp is exposed due to dental trauma, it can be saved by doing a root canal treatment, commonly known as a Nerve filling. 95% of our root canal treatments are completed in one visit, which in turn saves your time and reduces radiation exposure too. We take pride in delivering root canal treatments with minimum post-operative pain and only a very few patients require post-operative use of Antibiotics.
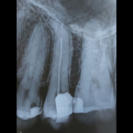
Advanced Complex Root Canal Treatments And Re-treatments
Not all root canal treatments are straightforward. The shape and degree of formation of the root of some teeth require expert intervention. We are proud to house some of the best-trained specialists at Danthaja to handle such cases. Furthermore, failed root canal treated cases done elsewhere, which need re-treatment will also be handled by our specialists.
- MTA treatment cases
- Difficult anatomy cases
- Re-treatment cases
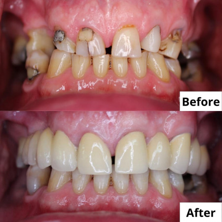
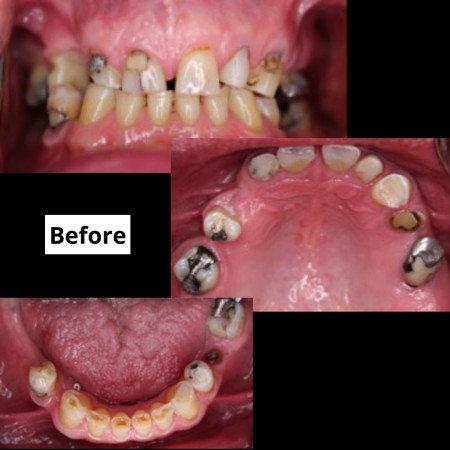
Provision of crowns / onlays to grossly broken-down teeth
When a tooth breaks down due to Dental caries or trauma, it might need a crown or an onlay to preserve the remaining tooth material to keep it for aesthetic or functional purposes. Danthaja specialists will offer you various treatment options considering the remaining tooth substance.
- Full ceramic [Emax] crowns
- Ceramic fused to metal crowns
- Metal crowns
Replacement of missing teeth
When a tooth is missing due to extraction or if it is missing due to developmental causes [Hypodontia], it can be replaced by a variety of options ranging from removable dentures to implant-retained prosthesis.
-
- Removable dentures – There is a conventional acrylic denture option which is the cheapest. Then, we can offer Flexible and Metal denture options to depending on the affordability and clinical condition of the remaining teeth and the soft tissues.
- Resin-Bonded Bridges – These are commonly known as adhesive bridges, as these are cemented to an adjacent tooth. These are extremely conservative, as it does not require any tooth preparation and these bridges provide excellent aesthetic outcomes too. These bridges are especially useful in young patients, whose teeth are more liable to cause problems if cut for conventional bridges. We, at Danthaja are very keen on delivering minimally invasive procedures in replacing missing teeth.
- Conventional bridges – These bridges are retained by the capping of adjacent teeth. Because of the invasiveness of this treatment option, we at Danthaja preserve it for selected cases, where adhesive and implant options are not feasible. However, these bridges are time-tested and guaranteed to give excellent aesthetic outcomes.
- Implant retained crowns, and bridges – If there is no significant contraindication for implants such as ongoing bisphosphonate therapy or relative contraindication such as uncontrolled diabetes mellitus, implant therapy is considered to be the best treatment option to replace missing teeth. We, at Danthaja use only the recognized implant brands with adequate literature for our patients. Our surgeons will use guided surgery techniques to optimize the 3- D position of the implant to achieve excellent aesthetic outcomes and functional stability.
- Implant retained dentures – When someone has lost all the teeth, the standard of care to replace missing teeth is implant-supported dentures. This is relatively a less expensive treatment option when compared to implant-retained bridges and allows the freedom to clean the implants too. This is known to produce good chewing efficiency and offer good aesthetic outcomes.
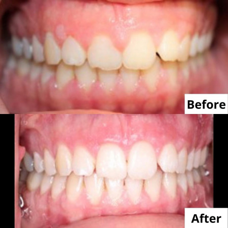
Management of discoloured teeth
Discolouration of teeth due to various causes is a common dental problem, patients are faced with. There are various techniques to manage this problem ranging from minimally invasive bleaching techniques to the provision of full crowns. Our experts will choose the best treatment option for you taking various factors such as age, degree and cause of discolouration into consideration.
- Bleaching techniques – We use 10 % Carbamide peroxide in various forms in our bleaching techniques. This is the concentration approved to be used in the UK too, thus safety is guaranteed. Results are very predictable, so this is the prime treatment option we offer as it is the least damaging to the tooth structure.
- Ceramic veneers – We use Lithium Disilicate [EMAX] in our veneer treatments, because it allows minimum preparation of teeth, whilst achieving superb aesthetic outcomes. This would give you the ‘’Hollywood smile’’ and is considered to be the pinnacle of dental aesthetic treatments, in good hands.
- Dental crowns – This is hardly used nowadays in managing discoloured teeth due to its destructive nature. However, it is still of use in situations where a serious breakdown of tooth material is present concurrently with discolouration.
Aesthetic correction of gum [gingival] problems
Excessive growth of gum leading to reduced dental crown height, discolouration of gingiva or gummy smile can cause serious aesthetic concerns to some patients. These can be corrected either by conventional surgical means or laser treatments.
- Plastic surgery of gum tissue [Gingivoplasty]
- Removal of excessive gum tissue [ Gingivectomy]
Management of dental trauma
Danthaja will offer you the best, up-to-date immediate, intermediate and long-term treatment options for any dental trauma scenario after a traumatic injury to teeth. You will be able to reach our specialists in the event of dental trauma over the phone to get urgent advice and you will be guided to do what is best afterwards.
Aesthetic enhancement of the smile
Smile designing is an area of dentistry we are very proud to offer to our patients. This will be done after a careful assessment of the teeth and soft tissues and these patients will be seen by a panel of Danthaja experts to give you the best aesthetic outcomes. Newest software aided by CAD-CAM technology will be employed in these cases to optimize and pre-visualize the outcome.
Comprehensive management of developmental dental problems
Not all is blessed with a nice set of teeth with good shades and shapes. There are certain genetic causes and environmental causes that would cause severe defects in dental tissues. However, if properly identified and diagnosed, most of these problems can be corrected. These cases are best dealt with by a specialist in Restorative dentistry, simply because of the gravity of the problem and the complexity of the treatment options involved.
- Amelogenesis imperfecta
- Dentinogenesis imperfecta
- Fluorosis
Full-mouth rehabilitation of tooth wear
Tooth wear is becoming a common problem in the contemporary population. This is commonly seen among young patients because of the excessive use of fizzy drinks and reflux medical conditions like gastritis. In Sri Lanka, this is commonly evident in the elderly population due to untimely extractions of posterior teeth. Management of tooth wear needs proper understanding of the causes, meticulous planning and proper execution of the plan. Otherwise, any treatment will be futile. Danthaja will offer you the best treatment options that would guarantee the best aesthetic outcomes with functional stability in tooth-wear cases.








![Full Ceramic [Emax] Crowns](https://danthajadentalchambers.com/wp-content/uploads/cache/2022/06/10/1271659580.jpg)
















